*услуги по программе ОМС не оказываем
Почему выбирают стоматологию «Стома-Сервис»?
Более 30 лет стоматологический услуг!
Опытный, квалифицированный персонал!
Современное оборудование!
Выгодные цены на все услуги!
Контроль качества всех услуг ведет лично главный врач!
Наличие личной зуботехнической лаборатории, позволяет не затягивать изготовление работ!
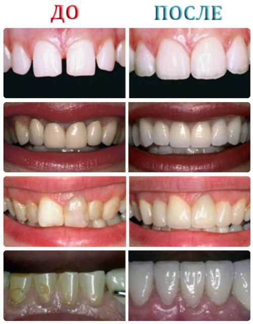
Стоматологическая клиника ООО «Стома-Сервис» приняла первых пациентов в 1995 году. С 2000 года состав сотрудников постоянный. Все виды стоматологических услуг оказывают высококвалифицированные специалисты со стажем, имеющие сертификаты, подтверждающие высокий профессиональный уровень, регулярно посещают тематические курсы усовершенствования. Для качественной диагностики, лечения, удаления и протезирования зубов наших пациентов клиника оснащена современным оборудованием, надежными обезболивающими препаратами, что позволяет в одном месте провести диагностику, лечение, удаление, протезирование зубов. О высоком качестве работы наших специалистов говорит тот факт, что нам доверяют своих клиентов страховые компании «Росгосстрах», «Альфа-страхование» и т. д. Стоматологическая клиника ООО «Стома-Сервис» предлагает стоматологические услуги по разумным ценам.
Из-за отсутствия пациентов недобросовестные врачи назначают лишние процедуры, уверяя, что они жизненно необходимы. В результате, кроме лишних трат пациент может получить серьезное осложнение.
Главный врач клиники лично проверяет каждых план лечения, и с какой целью была назначена та или иная процедура. Чтобы пациент получил именно то лечение, которое ему необходимо. Акцент делается на долгосрочные отношения с пациентами, а не на разовый заработок.
Молодые клиники делают любые скидки пациентам, иногда работая «в ноль», лишь бы забить расписание. При этом пациенту не объясняют, что экономия идет за счет тех вещей, которые влияют на дальнейший срок службы зубов.
На первичной консультации доктор расскажет Вам из чего складывается стоимость услуг и на каких вещах никогда не стоит экономить. Чтобы Вы были в курсе всех «подводных камней».
Чтобы пациент остался на лечение ему называют минимальную стоимость, но в процессе лечения по «случайному» стечению обстоятельств она начинает расти.
Перед началом работ Вам будет озвучена точная стоимость услуг, которая останется неизменна а течение всего плана лечения. И никаких «сюрпризов» в процессе взаимодействия.
Как только пациент оплачивает полную сумму за лечение, мотивация персонала клиники сразу пропадает и он вынужден неоднократно звонить, узнавая о своем следующем визите.
У нас Вы оплачиваете после окончания лечения или протезирования, поэтому Вы не будете беспокоиться, что получив деньги, мы про Вас забудем.
Клиника снимает помещение в престижном районе и дает дорогую имиджевую рекламу - все это никак не сказывается на качестве лечения, а в итоге за все это платит пациент.
За счет оптимизации расходов на рекламу, нам не нужно прибавлять стоимость рекламы к цене своих услуг, поэтому наши пациенты не переплачивают за факторы, которые никак не влияют на качество их лечения.
Люди годами не ходят к стоматологу, думая, что лечение стоит очень дорого. И небольшие проблемы с зубами перерастают в серьёзные патологии.
В зависимости от Вашего бюджета, мы предложим на выбор несколько вариантов возможного лечения. Чтобы Вы смогли уложиться в запланированную сумму и не допустили, чтобы болезнь переросла в серьезную патологию.
Некоторые клиники для повышения своего имиджа отрицательно отзываются о конкурентах. В том числе говоря о высоких ценах у них.
Мы не упоминаем о конкурентах, и не даем никаких характеристик об из работе, при этом оказывается, что цены у нас не такие высокие, как говорят!
Диагностическое препарирование зубов — популярный метод обследования, который позволяет стоматологу выбрать дальнейшую тактику ведения пациента. Процедура включает:
- выявление проблемных участков в ходе визуального осмотра и зондирования,
- иссечение кариозного участка с минимальным повреждением тканей.
Лечение кариеса зубов и его осложнений Эстетическая реставрация зубов Лечение заболеваний слизистой оболочки полости рта и пародонта, в том числе с использование хирургического лазера Снятие зубных отложений Отбеливание зубов и так далее
Восстановление разрушенных зубов винирами, вкладками, накладками, коронками Восстановление отсутствующих зубов несъемными и съемными протезами
Удаление зубов Лечение периостита зубов (осложнение кариеса) Удаление зубов с использованием хирургического лазера и ультразвука Удаление новообразований полости рта Резекция верхушки зуба и так далее
ООО «Стома-Сервис» оказывает амбулаторно-поликлиническую медицинскую помощь. В случае необходимости оказания пациентам медицинской помощи в стационарных условиях медицинский работник направляет пациента в соответствии с Приказами о маршрутизации МБУЗ «ГБ №1» города Шахтаы, работающие по графику.
Экстренная госпитализация- госпитализация в случае внезапно возникшего заболевания или состояния, обострения хронического заболевания, влекущих угрозу для жизни, без направления или по направлению учреждений скорой и неотложной медицинской помощи, врача лечебно-профилактического учреждения, независимо от формы собственности и ведомственной принадлежности, при самостоятельном обращении пациента.
Показания для экстренной госпитализации:
-оказание экстренной помощи больным при заболеваниях, травмах и других неотложных состояниях, угрожающих жизни;
-состояния больного, требующие неотложных лечебно- диагностических мероприятий или круглосуточного медицинского наблюдения.
Плановая госпитализация-госпитализация по направлению лечащего врача поликлиники осуществляется в рамках Программы государственных гарантий оказания гражданам РФ бесплатно медицинской помощи.
Показания для плановой госпитализации:
-в случае необходимости коррекции лечения или невозможность проведения лечебных мероприятий в амбулаторно- поликлинических условиях;
-невозможность проведения диагностических или лечебных манипуляций в амбулаторно-поликлинических условиях;
- состояния больного, требующие круглосуточного наблюдения в связи с возможностью развития осложнений основного заболевания, угрожающих жизни больного;
- необходимость постоянного врачебного наблюдения не менее 3-х раз в сутки;
-Необходимость круглосуточного выполнения лечебных процедур-;
-неэффективность амбулаторного лечения у часто и длительно болеющих пациентов
Уважаемые пациенты!
Записаться на прием к врачу Вы можете:
- Лично обратившись к администратору по адресу: г. Шахты, у
л. Маяковского, д. 54
- Позвонив на ресепшен по номерам: 8(8636)25-57-57
- По телекоммуникационной сети Интернет на сайте
Запись пациентов на консультативный прием и обследования производится к каждому специалисту в соответствии с его расписанием и временем приема, с учетом пожеланий пациента. С расписанием специалиста можно ознакомиться на сайте в разделе «График работы врачей».
За день до назначения приема администратор Центра делает пациенту напоминание о визите посредством телефонного звонка или СМС.
В день приема пациенту необходимо за 15-20 минут обратиться на ресепшен для оформления документации.
Порядок обращения пациента за медицинской помощью можно посмотреть в «Правилах внутреннего распорядка для медицинских услуг»
Порядок приема пациентов врачами-специалистами осуществляется в соответствии с Федеральным законом «323-ФЗ» от 21.11.2011 «Об основах охраны здоровья граждан РФ и другими нормативно-правовыми актами».
Настоящая Политика в отношении обработки персональных данных (далее - Политика) разработана в соответствии с Федеральным законом от 27.07.2016 «152-ФЗ «О персональных данных» (далее – ФЗ-152).
Настоящая Политика определяет порядок обработки персональных данных и меры по обеспечению безопасности персональных данных в ООО «Стома-Сервис» (далее – Компания) с целью защиты прав и свобод человека и гражданина при обработке его персональных данных, в том числе защиты прав на неприкосновенность частной жизни, личную и семейную тайну.
Цели обработки персональных данных
• Для улучшения обслуживания клиентов. Информация, которую Вы предоставляете, позволяет более эффективно реагировать на Ваши запросы;
• Для улучшения нашего сайта. Мы можем использовать обратную связь, которую Вы предоставляете, чтобы улучшить наши услуги;
• Для персонализации пользовательского опыта. Мы можем использовать информацию для определения кто из посетителей нашего сайта наиболее заинтересован в наших услугах.
Общие принципы и условия обработки персональных данных клиентов и работников
Обработка персональных данных осуществляется на основе следующих принципов:
• Обработка персональных данных должна осуществляться на законной и справедливой основе;
• Обработка персональных данных должна ограничиваться достижением конкретных, заранее определенных и законных целей. Не допускается обработка персональных данных, несовместимая с целями сбора персональных данных;
• Не допускается объединение баз данных, содержащих персональные данные, обработка которых осуществляется в целях, несовместимых между собой;
• Обработке подлежат только персональные данные, которые отвечают целям их обработки;
• Содержание и объем обрабатываемых персональных данных должны соответствовать заявленным целям обработки. Обрабатываемые персональные данные не должны быть избыточными по отношению к заявленным целям их обработки;
• При обработке персональных данных должны быть обеспечены точность персональных данных, их достаточность, а в необходимых случаях и актуальность по отношению к целям обработки персональных данных. Компания должна принимать необходимые меры либо обеспечивать их принятие по удалению или уточнению неполных или неточных данных.
Компания обязуется не передавать полученные персональные данные третьим лицам, за исключением следующих случаев:
• Стратегическим партнерам, которые работают с Компанией для предоставления продуктов и услуг, или тем из них, которые помогают Компании реализовывать продукты и услуги потребителям. Мы предоставляем третьим лицам минимальный объем персональных данных, необходимый только для оказания требуемой услуги;
• По запросам уполномоченных органов государственной власти РФ только по основаниям и в порядке, установленном законодательством РФ.
Персональные данные Пользователя
Вводя личные данные в какой-либо форме обратной связи на Сайте, нажимая кнопку «Отправить», Пользователь принимает решение о предоставлении своих персональных данных и дает согласие на их обработку своей волей и в своем интересе, при этом такое согласие Пользователя является конкретным и сознательным.
Администрация сайта не проверяет достоверность персональной информации, которая предоставляется Пользователями, и не осуществляет проверку их дееспособности. При этом Администрация Сайта исходит из того, что информация, переданная им от Пользователей, является достоверной.
Обработка персональных данных может вестись как с использованием средств автоматизации, так и без них.
Также на нашем сайте используются файлы cookie для обеспечения правильной и эффективной работы сайта, а также для получения нами аналитической информации.
При использовании нашего сайта, Вы подтверждаете свое согласие на использование файлов cookie. В случае Вашего несогласия с использованием cookie, просим Вас произвести соответствующие настройки в браузере, либо покинуть наш сайт.
Политика безопасности и защиты персональных данных обеспечивается путем принятия правовых, организационных и технических мер. К ним можно отнести:
• определение перечня информации, составляющей персональные данные субъектов, обрабатываемые Компанией;
• ограничение доступа к информации, составляющей персональные данные субъектов, путем установления порядка обращения с этой информацией и контроля соблюдения такого порядка;
• учет лиц, получивших доступ к информации, составляющей персональные данные субъектов, и (или) лиц, которым такая информация была предоставлена или передана;
• обеспечение защиты персональных данных от несанкционированного доступа;
• другие меры, которые не противоречат законодательству Российской Федерации.
В целях соблюдения требований законодательства Компанией приняты локальные акты, регламентирующие порядок обработки персональных данных, и определяющие его политику в отношении их обработки.
Конфиденциальность и безопасность персональных данных
Мы не разглашаем полученные нами в результате своей профессиональной деятельности персональные данные. Работники, получившие доступ к персональным данным, принимают обязательства по обеспечению конфиденциальности обрабатываемых персональных данных.
Мы принимаем необходимые технические и организационные меры информационной безопасности для защиты персональных данных от несанкционированного доступа, изменения, раскрытия или уничтожения, путем внутренних проверок процессов сбора, хранения и обработки данных и мер безопасности, а также осуществления мер по обеспечению физической безопасности данных для предотвращения несанкционированного доступа к системам, в которых мы храним персональные данные.
Обработка персональных данных Пользователей
Принятие условий настоящей Политики в части положений об обработке персональных данных, осуществляется путем проставления Пользователем соответствующей отметки при заполнении любой формы обратной связи и является выраженным осознанным согласием Пользователя на обработку персональных данных.
Пользователь соглашается с тем, что Администрация Сайта имеет право на хранение и обработку, в том числе и автоматизированную, любой информации, относящейся к персональным данным Пользователя в соответствии с Федеральным законом от 27.07.2006 г. № 152-ФЗ «О персональных данных», включая сбор, систематизацию, накопление, хранение, уточнение, использование, распространение (в том числе передачу), обезличивание, блокирование, уничтожение персональных данных, предоставленных Пользователем при заполнении формы обратной связи на Сайте.
Согласие на обработку персональных данных может быть в любой момент отозвано Пользователем путем письменного обращения в адрес Администрации Сайта. В случае отзыва Пользователем согласия на обработку персональных данных, Администрация Сайта удаляет персональные данные Пользователя и не вправе использовать их в будущем.
Администрацией Сайта обеспечивается конфиденциальность и безопасность при обработке персональных данных. Мы принимаем соответствующие меры безопасности по сбору, хранению и обработке любых собранных данных для защиты их от несанкционированного доступа, изменения, раскрытия или уничтожения Вашей личной информации (ФИО, номер телефона, адрес электронной почты).
Согласие с условиями настоящей Политики
Используя наш Сайт, Вы выражаете свое конкретное и осознанное согласие с этой Политикой. Если Вы не согласны с этой Политикой, просим Вас не использовать наш Сайт. Ваше дальнейшее использование Сайта после внесения изменений в настоящую Политику будет рассматриваться как Ваше согласие с этими изменениями.
Отказ от ответственности
Политика компании в отношении обработки персональных данных при посещении сторонних Сайтов третьих лиц не подпадает под действия данного документа. Администрация сайта не несет ответственности за действия других веб-сайтов.
Компания оставляет за собой право вносить изменения в одностороннем порядке в настоящие правила, при условии, что изменения не противоречат действующему законодательству РФ. Изменения условий настоящих правил вступают в силу после их публикации на Сайте.
Обратная связь
Если у Вас есть дополнительные вопросы или предложения относительно данной Политики, Вы можете обратиться к нам по следующему адресу stoma-servis@yandex.ru или по номеру телефона, указанному на нашем сайте.
Предупреждение об использовании файлов cookies на сайте
Сookie – это небольшой файл с данными, созданный браузером для сайта и сохраняемый на Вашем компьютере, планшете, телефоне или другом устройстве, которое Вы используете для посещения сайта. Файлы cookie используются для обеспечения правильной и эффективной работы сайта, а также для получения нами аналитической информации.
При использовании нашего сайта, Вы подтверждаете свое согласие на использование файлов cookie. В случае Вашего несогласия с использованием cookie, просим Вас произвести соответствующие настройки в браузере, либо покинуть наш сайт.
Виды файлов cookies, которые могут использоваться на нашем сайте
-Cookie для корректной работы сайта, позволяющие Вам передвигаться по нашему сайту и использовать его возможности. Эти файлы не идентифицируют Вас. Если Вы не согласны использовать данный тип файлов, это может оказать влияние на производительность веб-сайта или его компонентов.
-Cookie для аналитики, позволяющие понять как посетители взаимодействуют с нашим сайтом, какие страницы посещают и сколько времени находятся на сайте. Также они позволяют измерять эффективность рекламных кампаний и оптимизировать содержание сайта для посетителей, которые заинтересовались нашей рекламой. Данный тип файлов не идентифицирует Вас. Вся собираемая и анализируемая информация анонимна.
-Функциональные файлы cookie. С их помощью мы подбираем содержание сайта для посетителей, которые зашли на наш сайт повторно. В случае, если Вы блокируете их, то это может повлиять на функциональность сайта и ограничить доступ к информации.
-Рекламные файлы cookie. В этих файлах записываются сведения о ваших действиях в интернете, о посещении нашего сайта и страниц, данных о ссылках и рекламе, которые были выбраны Вами для просмотра. С их помощью мы предоставляем Вам рекламы и другую информацию об услугах с более точным соответствием Вашим интересам.
-Сторонние веб-сервисы. На нашем сайте мы используем сторонние веб-сервисы, принадлежащие третьим лицам, которые могут фиксировать информацию о вашей активности в интернете, в том числе на нашем сайте. К примеру, для отображения видео. Просим Вас ознакомиться с соответствующими условиями использования и политикой конфиденциальности таких сайтов для понимания того, как они используют Ваши данные и того, как можно отказаться от использования ими Ваших данных.
Как управлять файлами cookie
Большинство браузеров изначально настроены на автоматический прием cookie. Вы можете изменить настройки Вашего браузера таким образом, чтобы блокировать файлы cookie или предупреждать Вас о том, когда они будут отправляться к Вам на устройство. Чтобы узнать больше о том, как скорректировать или изменить настройки браузера, необходимо обратиться к инструкции Вашего браузера.
В случае, если Вы используете несколько устройств или браузеров для доступа к нашему сайту, то Вам необходимо убедиться, что каждый браузер на каждом из Ваших устройств настроен в соответствии с Вашей точкой зрения на работу с файлами cookie.
Каким образом собирается и используется информация?
Мы и наши поставщики услуг можем использовать файлы cookie в следующих целях:
-для облегчения получения нами и третьими лицами информации о Ваших посещениях сайта;
-для анализа информации о Вашем посещении страниц с целью совершенствования сайта и понимания Ваших интересов;
-для предоставления рекламы, сообщений и контента, созданных нами и третьими лицами, на нашем сайте и сайтах других лиц, учитывая Ваши интересы;
-для того, чтобы помочь Вам в получении необходимой информации;
-для определения количества посетителей сайта и того, как они используют наш сайт, с целью повышения эффективности сайта и лучшего понимания интересов их аудитории.
Как долго cookie хранятся на устройстве
Некоторые файлы cookie действуют с момента Вашего входа на сайт и до конца данной конкретной сессии работы в браузере. При закрытии браузера эти файлы становятся ненужными и автоматически удаляются. Такие файлы cookie называются «сеансовыми».
Некоторые файлы cookie сохраняются на устройстве в промежутке между сессиями работы в браузере. Они не удаляются после закрытия браузера. Такие файлы называются «постоянными». Срок хранения постоянных файлов cookie на устройстве зависит от их функций.
Файлы cookie и персональные данные
Файлы cookie не содержат Ваших персональных данных, и соответственно невозможна идентификация Вашей личности. Файлы cookie не содержат сведений о Вашей фамилии, имени, отчества, адресов электронной почты, домашнего адреса, номеров телефонов и т.п.
Изменение условий использования файлов cookie
Уведомляем Вас, что по собственному усмотрению мы можем периодически изменять настоящее Предупреждение. Если Вы используете наш сайт после внесения соответствующих изменений, то Вы соглашаетесь на принятие измененного Предупреждения.
